
Patili dostlarımızın sağlığı için gerçekleştirdiğimiz başarılı tedavi vakalarını inceleyin. Uzman ekibimizin deneyimi ve modern teknolojimizle elde ettiğimiz sonuçları görün.

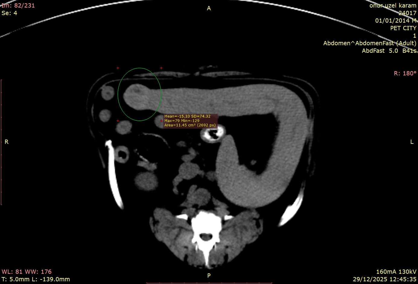
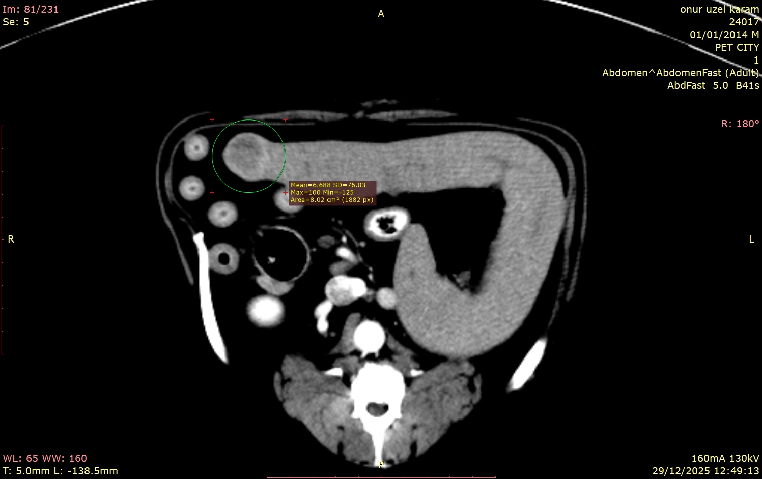
Kliniğimize prostat büyümesi şüphesiyle gelen sevimli dostumuzun hikayesi, doğru tanı araçlarının ne kadar hayati olduğunu bir kez daha kanıtladı. Rutin muayeneler ve klinik belirtiler bize bir yön gösterse de, vücudun içinde tam olarak neler olup bittiğini anlamak için bazen daha derinlemesine bir bakış gerekir. Bu vakamızda, teşhis için Bilgisayarlı Tomografi (BT) çekimine karar verdik. Ancak sonuçlar bize sadece prostatı değil, çok daha fazlasını anlattı.

Geleneksel görüntüleme yöntemlerinin aksine, tomografi bize vücudu katman katman, üç boyutlu bir hassasiyetle inceleme şansı verir. Bu teknoloji sayesinde, hekimlerimiz yalnızca şikâyet konusu olan bölgeyi (bu vakada prostatı) değil, o bölgeyle komşu olan tüm organları, doku yapılarını ve potansiyel riskleri tek bir taramada, en ince ayrıntısına kadar değerlendirebilir.
Hastamızın tomografi görüntülerini incelediğimizde, bizi şaşırtan ve tedavi planımızı kökten etkileyen detaylarla karşılaştık:
Bu vakadaki en kritik nokta, dalaktaki kitlenin tamamen "sessiz" olmasıydı. Hasta sahibinin fark edebileceği hiçbir semptom yoktu. Eğer sadece prostata odaklanıp ileri görüntüleme tekniklerini kullanmasaydık, dalaktaki bu lezyon gözden kaçabilirdi.
Tomografi çekilmemiş olsaydı, bu kitle belki de çok daha ileri bir evrede, tedavi şansının azaldığı bir dönemde karşımıza çıkacaktı. Bu vaka, tomografinin yalnızca mevcut problemi çözmekle kalmayıp, henüz belirti vermeyen gizli tehlikeleri de erken dönemde yakalama gücünü net bir şekilde göstermektedir.
Veteriner hekimlikte teknoloji, dostlarımızın yaşam süresini ve kalitesini doğrudan etkiler. İleri görüntüleme yöntemleri; tedavi planının ezbere değil; tamamen kanıta dayalı, güvenli ve hastaya özel oluşturulmasını sağlar.
Bu vakamızda olduğu gibi; erken teşhis sadece bir slogan değil, sevimli dostlarımız için sağlıklı bir geleceğin anahtarıdır.

Mayıs 2025 tarihinde katılım sağladığımız BlueSAO 189 Veterinary Orthopedics International Workshop, kliniğimizin cerrahi vizyonunda yeni bir dönemi başlattı. Veteriner ortopedi dünyasının en saygın eğitimlerinden biri olan bu organizasyonda; Total Kalça Protezi (THR), Internal Fiksasyon (Plak/Vida uygulamaları) ve Minimal İnvaziv Cerrahi Teknikleri üzerine yoğun bir teorik ve pratik eğitim süreci tamamladık. Ancak biz biliyoruz ki; modern tıpta cerrahın yeteneği, kullandığı teknolojinin gücüyle sınırlıdır. Karmaşık bir kırık operasyonu veya hassas bir protez yerleşimi, "tahminlere" yer bırakmayacak kadar ciddi bir süreçtir. Bu nedenle, uluslararası arenada edindiğimiz bu ileri cerrahi yetkinlikleri, kliniğimiz bünyesine kattığımız yüksek teknolojili tanı ve laboratuvar altyapısı ile birleştirerek, bölgedeki en kapsamlı tedavi merkezini oluşturduk.
Ortopedik vakalarda ve travmatik yaralanmalarda, standart röntgen görüntüleri bazen yetersiz kalabilir. İki boyutlu görüntülerde kemiklerin üst üste binmesi (süperpozisyon), mikro çatlakların veya eklem içi hasarların gözden kaçmasına neden olabilir.
Kliniğimizde bulunan Bilgisayarlı Tomografi (CT) cihazımız ile:
Acil travma vakalarında zamanla yarışıyoruz. Kliniğimizin Dijital Röntgen Sistemi, saniyeler içinde yüksek kontrastlı ve detaylı görüntüler sunarak hızlı karar vermemizi sağlar.
Başarılı bir ortopedik cerrahi, sadece kemiği onarmak değildir; hastanın genel sisteminin bu operasyonu kaldırıp kaldıramayacağını bilmektir. Pek çok klinik, viral veya bakteriyel analizler için dış laboratuvarlara bağımlıyken, biz bu süreci kendi bünyemizde çözüyoruz.
Kliniğimizdeki PCR (Polimeraz Zincir Reaksiyonu) cihazı ile:
BlueSAO eğitimiyle kazandığımız global cerrahi vizyonu; Tomografi, Dijital Röntgen ve PCR teknolojilerimizle destekleyerek, minik dostlarımız için maksimum güvenlik ve konfor sağlıyoruz. Kliniğimizde şansa yer yok; bilim, teknoloji ve uzmanlık var.






